Welcome to GenomeRxUS
About Us
GenomeRxUS is a CRO for Clinical Research, Clinical Trials, Medical Research, Medical Writing, Data Management and Pharmacovigilance services. We offer a wide spectrum of clinical trial solutions empowered by more than 15 years of service to the biopharmaceutical and generic industry.
GenomeRxUS is a healthcare firm based in Philadelphia (USA) founded by Dr. Beamon Agarwal, MD, PhD (Founder/President) specializing in designing genomic tests for the early detection and diagnosis of Cancer. Our company remains committed to growing capabilities to support routine and specialized histology, immunohistochemistry, histopathology and digital pathology for clinica and basic science research. Our versatile team of board-certified pathologists, CAP accredited histo-technicians and Research Scientists bring a unique combination of technical skills and clinical and scientific expertise to benefit our clinical and research clients.
OUR SERVICES
Immunofluorescence Staining
Insulin/glucagon in islets of mouse pancreas
8-OH in mouse brain
Collagen staining in human skin
Isl1 expression to show early development of mouse gut
Immunofluorescence combined with immunohistochemistry
Precise and specific expression of a transcription factor in mouse spinal cord
Enteric nervous system in chick digestive tract
Immunohistochemistry Beauties
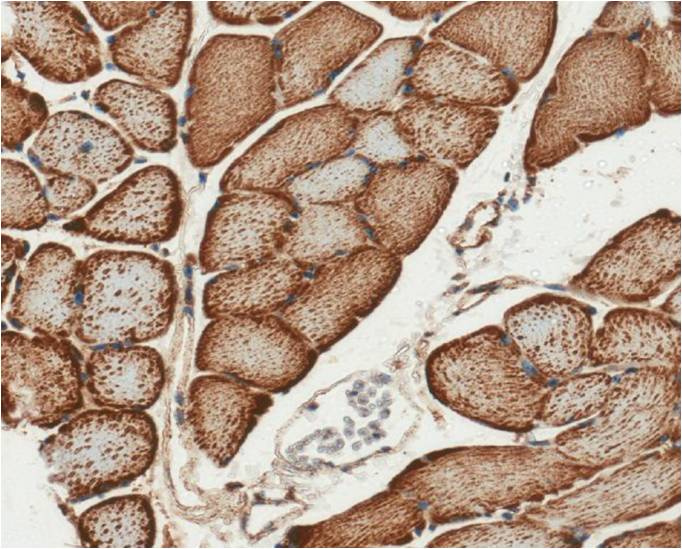
Skeletal muscle staining -High power-
Transcription factor expression during early development of tooth in mouse
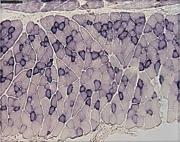
Skeletal muscle staining -Low power-
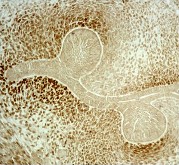
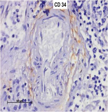
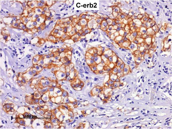
Breast Cancer Panel in veterinary animals
Lymphoma Panel in Humans
Soft Tissue Panel in Humans
Special Stains
Elastin staining in mouse artery
COX staining in skeletal muscle
Trichrome staining in mouse lungs
Human Bone Marrow Cytosmears
Wholemount and section in situ Hybridisation
Pathology
We caters to clients looking for solutions by Immunohistochemistry (IHC) Diagnosis. We conduct IHC for routine and novel antibodies both for research and Diagnostics.
Scientific Writeup
We help in writing Grants and manuscripts aimed for publication in peer-reviewed International Journals and also design Experiments for Scientific projects.
Software Management
We offer customized Clinical, Laboratory and Bio repository database management solution with Insights, accuracy for our clients.
Contract Research
We provide a wide array of consultation services related to molecular and ancillary pathology testing.
Laboratory Analyzer Interfaces
Lab Automation Solutions including bi-directional interfaces and bar coding of samples to simple uni-directional interfaces.
Clinical Informatics
Our data scientist can build application of informatics and direct sensitive and complex patient information to meaningful healthcare insights.
OUR TEAM
Our Clients
Our Publications
Pragnya Das, Tore Curstedt, Beamon Agarwal, Varsha M Prahaladan, John Ramirez, Shreya Bhandari, Mansoor A Syed, Fabrizio Salomone, Costanza Casiraghi, Nicola Pelizzi, Vineet Bhandari. Small Molecule Inhibitor Adjuvant Surfactant Therapy Attenuates Ventilator- And Hyperoxia-Induced Lung Injury in Preterm Rabbits . Front Physiol. 2020. Apr 9;11:266. PMID: 32327998
Mehta M, Gohil D, Khattry N, Kumar R, Sandur S, Sharma D, Checker R, Agarwal B , Jha D, Majumdar A, Gota V. Prevention of acute graft-versus-host-disease by Withaferin a via suppression of AKT/mTOR pathway. Int Immunopharmacol. 2020 May 13;84:106575. PMID: 32416453
Bhagat TD, Von Ahrens D, Dawlaty M, Zou Y, Baddour J, Achreja A, Zhao H, Yang L, Patel B, Kwak C, Choudhary GS, Gordon-Mitchell S, Aluri S, Bhattacharyya S, Sahu S, Bhagat P, Yu Y, Bartenstein M, Giricz O, Suzuki M, Sohal D, Gupta S, Guerrero PA, Batra S, Goggins M, Steidl U, Greally J, Agarwal B, Pradhan K, Banerjee D, Nagrath D, Maitra A, Verma A. Lactate-mediated epigenetic reprogramming regulates formation of human pancreatic cancer-associated fibroblasts. Elife. 2019 Nov 1;8:e50663. PMID: 31663852
Shenoy N, Bhagat TD, Cheville J, Lohse C, Bhattacharyya S, Tischer A, Machha V, Gordon-Mitchell S, Choudhary G, Wong LF, Gross L, Ressigue E, Leibovich B, Boorjian SA, Steidl U, Wu X, Pradhan K, Gartrell B, Agarwal B, Pagliaro L, Suzuki M, Greally JM, Rakheja D, Thompson RH, Susztak K, Witzig T, Zou Y, Verma A. Ascorbic acid-induced TET activation mitigates adverse hydroxymethylcytosine loss in renal cell carcinoma. J Clin Invest. 2019 Mar 4;130(4):1612-1625. PMID: 30702441
Das P, Panda SK, Agarwal B, Behera S, Ali SM, Pulse ME, Solomkin JS, Opal SM, Bhandari V, Acharya S. Novel Chitohexaose Analog Protects Young and Aged mice from CLP Induced Polymicrobial Sepsis. Sci Rep. 2019 Feb 27;9(1):2904. PMID: 30814582
Das P, Acharya S, Prahaladan VM, Kumova OK, Malaeb S, Behera S, Agarwal B, Christensen DJ, Carey AJ, Bhandari V (2021). Chitin-Derived AVR-48 Prevents Experimental Bronchopulmonary Dysplasia (BPD) and BPD-Associated Pulmonary Hypertension in Newborn Mice. Int J Mol Sci. Aug 9;22(16):8547. doi: 10.3390/ijms22168547 PMID: 34445253 PMID: 34445253
Shah D, Das P, Acharya S, Agarwal B, Christensen DJ, Robertson SM, Bhandari V. Small Immunomodulatory Molecules as Potential Therapeutics in Experimental Murine Models of Acute Lung Injury (ALI)/Acute Respiratory Distress Syndrome (ARDS). Int J Mol Sci. 2021 Mar 4;22(5):2573. doi: 10.3390/ijms22052573 PMID: 33806560 PMID: 33806560
Das P, Acharya S, Shah D, Agarwal B, Prahaladan V, Bhandari V (2020). Chitin Analog AVR-25 Prevents Experimental Bronchopulmonary Dysplasia. J Pediatr Intensive Care. Sep 9(3):225-232. doi: 10.1055/s-0040-1709994. PMID: 32685255 PMID: 32685255
